Product Datasheet  
CD79B Rabbit mAb  
Catalog Number: 78864  
Technical:tech@swbio.com  
Information:info@swbio.com  
Description  
  • host_species:  
  • Rabbit
  • Amount:  
  • 100μgμg
  • Swiss-Prot No.:  
  • P40259
  • Form of Antibody:  
  • Storage:  
  • Store at -20℃. Avoid freeze / thaw cycles.|Buffer: PBS with 0.02% sodium azide,0.05% BSA,50% glycerol,pH7.3.
  • Immunogen:  
  • A synthesized peptide derived from human CD79B
  • reactivity:  
  • Human,Mouse,Rat
  • appl_detail:  
  • WB 1:500 - 1:2000
    IHC 1:50 - 1:200
    IF 1:50 - 1:200
  • other_names:  
  • AGM6, B29, IGB
  • Purification:  
  • Affinity purification
  • Specificity:  
  • Applications:  
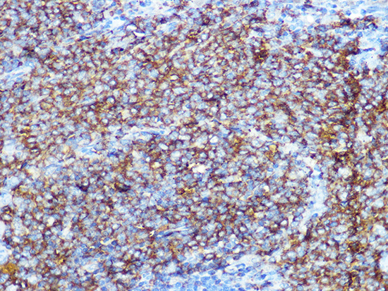
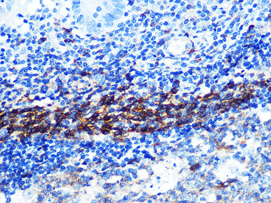
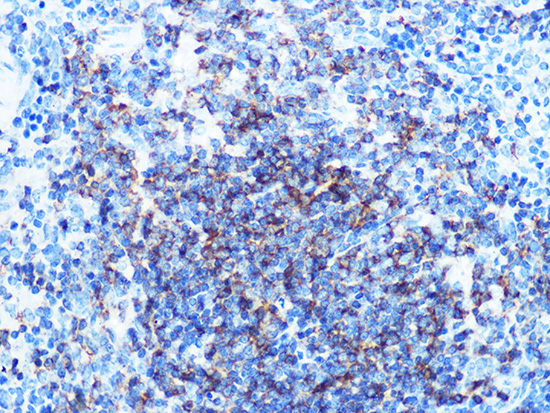
  • WB,IHC,IF
  • Background:  
  • The B lymphocyte antigen receptor is a multimeric complex that includes the antigen-specific component, surface immunoglobulin (Ig). Surface Ig non-covalently associates with two other proteins, Ig-alpha and Ig-beta, which are necessary for expression and function of the B-cell antigen receptor. This gene encodes the Ig-beta protein of the B-cell antigen component. Alternatively spliced transcript variants encoding different isoforms have been described. [provided by RefSeq, Jul 2008]



 
© Signalway Biotechnology All Rights Reserved.